肝纖化肝硬度脂肪肝測量
-
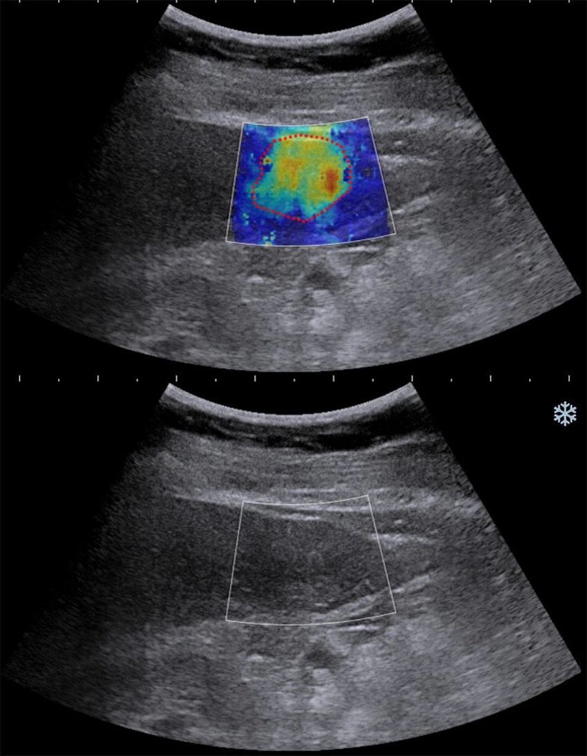
- B型肝炎以及C型肝炎因為慢性的發炎讓患者的肝臟逐步的纖維化但因為沒有任何的癥狀所以患者以及醫師便無法了解患者本身纖維化的程度甚至硬化的程度。肝炎帶原者若合併肝臟纖維化發生肝癌以及併發證的機率會顯著的上升。不論是超音波、核磁共振、或電腦斷層都無法正確判斷肝臟纖維化的程度,往往需要患者住院做肝切片的檢查才有辦法做較為正確的診斷。ARFI超音波的發明讓患者不要再做切片就能做診斷。經過國際醫學會證實ARFI超音波尤其是2D shear wave技術在各個方面對肝纖維化硬化的診斷都超過核磁共振以及電腦斷層。

-
- 脂肪肝是個常見的疾病也是讓患者以及醫師會忽略的疾病。近幾年來醫學界發現脂肪肝若有發炎或者合併肝纖維化容易在中老年時期有心血管疾病、心肌梗塞、腦中風、腎臟衰竭、肝硬化併發症、以及其他器官的癌症的發生。在美國有1/3因脂肪肝併發癌症,同時也是美國肝臟移植的主要原因。美國國際醫學會以及歐洲醫學會的數據顯示ATI超音波技術對脂肪肝的分層診斷精確度已經超過昂貴的核磁共振以及電腦斷層。本院於2024年9月率先引進ATI超音波脂肪肝診斷技術讓患者不用再住院切片即能精確診斷脂肪肝的嚴重程度。讓患者可以積極的介入治療,避免中老年時期脂肪肝合併症的發生。

預約掛號

左右尚有資訊